#twitterpath search results

Just discovered that my mother thinks ‘Cytology’ is looking only at cytoplasm. My mom thinks I’ve been just looking at free floating cytoplasm for months now. #twitterpath #pathtwitter #pathology #cytology @UTMB_Pathology


Inflammatory fibroid polyp of the gastric antrum. An extremely rare entity that represents 0.1% of gastric polyps. This was localized in the gastric antrum of a 72 year old woman. #pathology #twitterpath

EIacovou's tweet image. Inflammatory fibroid polyp of the gastric antrum.
An extremely rare entity that represents 0.1% of gastric polyps.
This was localized in the gastric antrum of a 72 year old woman. #pathology #twitterpath
EIacovou's tweet image. Inflammatory fibroid polyp of the gastric antrum.
An extremely rare entity that represents 0.1% of gastric polyps.
This was localized in the gastric antrum of a 72 year old woman. #pathology #twitterpath
EIacovou's tweet image. Inflammatory fibroid polyp of the gastric antrum.
An extremely rare entity that represents 0.1% of gastric polyps.
This was localized in the gastric antrum of a 72 year old woman. #pathology #twitterpath
EIacovou's tweet image. Inflammatory fibroid polyp of the gastric antrum.
An extremely rare entity that represents 0.1% of gastric polyps.
This was localized in the gastric antrum of a 72 year old woman. #pathology #twitterpath

26 year old male with fever and generalised weakness for 05 days presents with a total leukocyte count of 88,500. He is supposed to get married next week! #PathTwitter #twitterpath #pathresident #pathology #hematology #hematopat #hemepath #diagnosis #leukemia

NidhinMd's tweet image. 26 year old male with fever and generalised weakness for 05 days presents with a total leukocyte count of 88,500. He is supposed to get married next week! #PathTwitter #twitterpath #pathresident #pathology #hematology #hematopat #hemepath #diagnosis #leukemia
NidhinMd's tweet image. 26 year old male with fever and generalised weakness for 05 days presents with a total leukocyte count of 88,500. He is supposed to get married next week! #PathTwitter #twitterpath #pathresident #pathology #hematology #hematopat #hemepath #diagnosis #leukemia
NidhinMd's tweet image. 26 year old male with fever and generalised weakness for 05 days presents with a total leukocyte count of 88,500. He is supposed to get married next week! #PathTwitter #twitterpath #pathresident #pathology #hematology #hematopat #hemepath #diagnosis #leukemia

Bladder mass , different biopsies in the background of bilharzial cystitis #pathology #GUpath #twitterpath

LFpath's tweet image. Bladder mass , different biopsies in the background of bilharzial cystitis #pathology #GUpath #twitterpath
LFpath's tweet image. Bladder mass , different biopsies in the background of bilharzial cystitis #pathology #GUpath #twitterpath
LFpath's tweet image. Bladder mass , different biopsies in the background of bilharzial cystitis #pathology #GUpath #twitterpath
LFpath's tweet image. Bladder mass , different biopsies in the background of bilharzial cystitis #pathology #GUpath #twitterpath

Allí nos vemos. Mi charla va de #twitter desde la experiencia #Twitterpath #DPValencia2019

Histopatolomon's tweet image. Allí nos vemos. Mi charla va de #twitter desde la experiencia
#Twitterpath #DPValencia2019

Particular strengths of the University of Utah Department of Pathology Residency Program includes a national reference laboratory owned by the University of Utah (ARUP Laboratories) says Dr. Smock @SmockKristi #PutPathOnTheMap #PathResidency #TwitterPath medicine.utah.edu/pathology/resi…

UofUPathRes's tweet image. Particular strengths of the University of Utah Department of Pathology Residency Program includes a national reference laboratory owned by the University of Utah (ARUP Laboratories) says Dr. Smock 
@SmockKristi #PutPathOnTheMap #PathResidency #TwitterPath

medicine.utah.edu/pathology/resi…

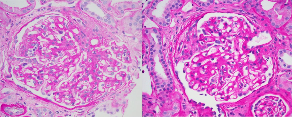
Older pt w/DN, MGUS. Worsening renal function + proteinuria. Bx: mildly active endocapillary proliferative GN + segmental fibrous crescents. IF: C3 only. k/L (-). EM with fusiform intramembranous deposits: Dense deposit disease (monoclonal Ig associated). #renalpath #twitterpath

JZRenalPath's tweet image. Older pt w/DN, MGUS. Worsening renal function + proteinuria. Bx: mildly active endocapillary proliferative GN + segmental fibrous crescents. IF: C3 only. k/L (-). EM with fusiform intramembranous deposits: Dense deposit disease (monoclonal Ig associated). #renalpath #twitterpath
JZRenalPath's tweet image. Older pt w/DN, MGUS. Worsening renal function + proteinuria. Bx: mildly active endocapillary proliferative GN + segmental fibrous crescents. IF: C3 only. k/L (-). EM with fusiform intramembranous deposits: Dense deposit disease (monoclonal Ig associated). #renalpath #twitterpath
JZRenalPath's tweet image. Older pt w/DN, MGUS. Worsening renal function + proteinuria. Bx: mildly active endocapillary proliferative GN + segmental fibrous crescents. IF: C3 only. k/L (-). EM with fusiform intramembranous deposits: Dense deposit disease (monoclonal Ig associated). #renalpath #twitterpath
JZRenalPath's tweet image. Older pt w/DN, MGUS. Worsening renal function + proteinuria. Bx: mildly active endocapillary proliferative GN + segmental fibrous crescents. IF: C3 only. k/L (-). EM with fusiform intramembranous deposits: Dense deposit disease (monoclonal Ig associated). #renalpath #twitterpath

A keratin pearl of a Seb K being torn apart during processing. #pathology #twitterpath #dermpath #pathart

HibTheSlider's tweet image. A keratin pearl of a Seb K being torn apart during processing. 
#pathology #twitterpath #dermpath #pathart
HibTheSlider's tweet image. A keratin pearl of a Seb K being torn apart during processing. 
#pathology #twitterpath #dermpath #pathart

First case of 2023.🥳🥳 35 years female swelling over right maxillary region. 😯 What am I? 🤔 #TwitterPath #PathTwitter #OralPathology #MedTwitter

amnabruno's tweet image. First case of 2023.🥳🥳
35 years female swelling over right maxillary region. 😯
What am I? 🤔
#TwitterPath #PathTwitter #OralPathology #MedTwitter

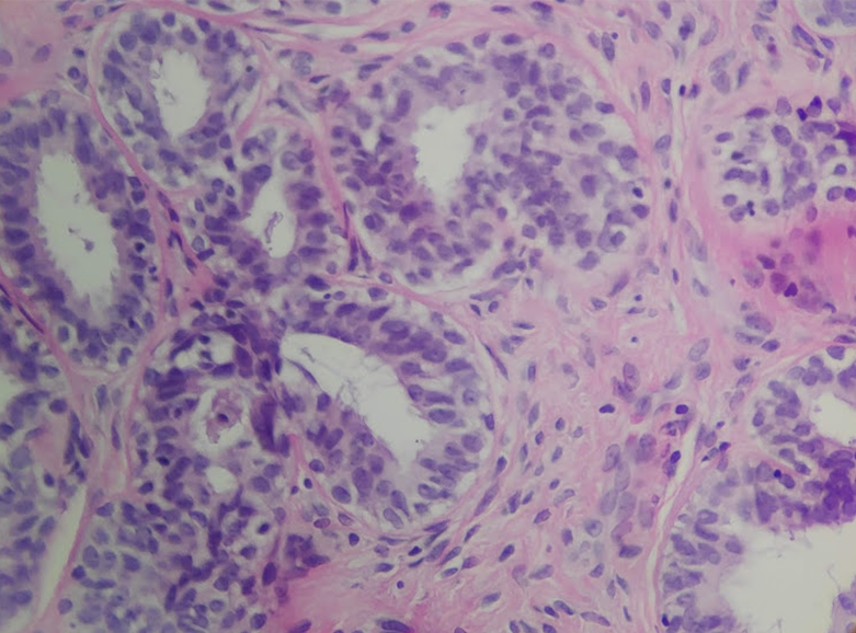
67yo male with polyploid nasal mass. A biopsy was taken. #pathology #twitterpath #headneckpath

EIacovou's tweet image. 67yo male with polyploid nasal mass.  A biopsy was taken. #pathology  #twitterpath #headneckpath
EIacovou's tweet image. 67yo male with polyploid nasal mass.  A biopsy was taken. #pathology  #twitterpath #headneckpath
EIacovou's tweet image. 67yo male with polyploid nasal mass.  A biopsy was taken. #pathology  #twitterpath #headneckpath
EIacovou's tweet image. 67yo male with polyploid nasal mass.  A biopsy was taken. #pathology  #twitterpath #headneckpath

No results for "#twitterpath"
No results for "#twitterpath"

@JosAnto57447393 Demos la bienvenida al Dr Ruiz Macia. Welcome to Twitter José Antonio. Welcome to #TwitterFamily #twitterpath

Histopatolomon's tweet image. @JosAnto57447393 Demos la bienvenida al Dr Ruiz Macia. Welcome to Twitter José Antonio. Welcome to #TwitterFamily #twitterpath

#TwitterPath, I’m excited to announce my new Educational Project: @8bitPathology I’ll be posting cases, unknowns, and #pathtips; no/few retweets or dialogue. Why #8bitPath? Because I love #pathology, & I like old-school arcade #pixelart👾 Consider a follow! #ASCP40UnderForty

8bitPathology's tweet image. #TwitterPath,
I’m excited to announce my new Educational Project: @8bitPathology

I’ll be posting cases, unknowns, and #pathtips; no/few retweets or dialogue.

Why #8bitPath? 
Because I love #pathology, & I like old-school arcade #pixelart👾

Consider a follow!

#ASCP40UnderForty

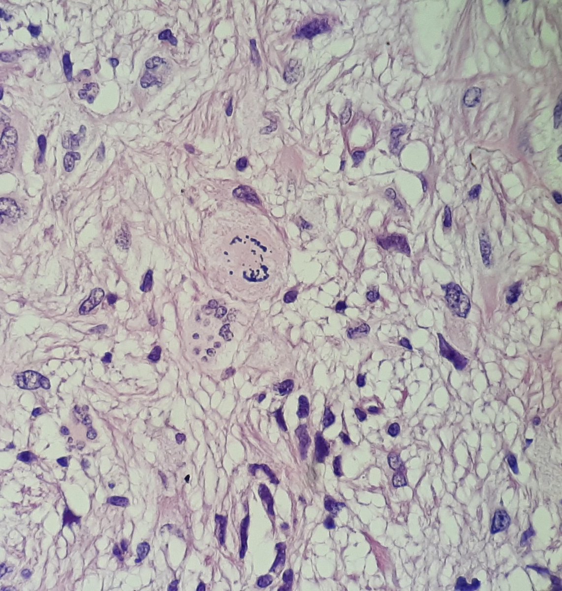
Creutzfeldt cells in a WHO grade 4 Astrocitoma #pathology #neuropath #twitterPath

ChiaraSacco13's tweet image. Creutzfeldt cells in a WHO grade 4 Astrocitoma 
#pathology #neuropath #twitterPath

Gross and microscopic images #GynPath #TwitterPath

AMColinoG's tweet image. Gross and microscopic images #GynPath #TwitterPath
AMColinoG's tweet image. Gross and microscopic images #GynPath #TwitterPath

A keratin pearl of a Seb K being torn apart during processing. #pathology #twitterpath #dermpath #pathart

HibTheSlider's tweet image. A keratin pearl of a Seb K being torn apart during processing. 
#pathology #twitterpath #dermpath #pathart
HibTheSlider's tweet image. A keratin pearl of a Seb K being torn apart during processing. 
#pathology #twitterpath #dermpath #pathart

Bladder mass , different biopsies in the background of bilharzial cystitis #pathology #GUpath #twitterpath

LFpath's tweet image. Bladder mass , different biopsies in the background of bilharzial cystitis #pathology #GUpath #twitterpath
LFpath's tweet image. Bladder mass , different biopsies in the background of bilharzial cystitis #pathology #GUpath #twitterpath
LFpath's tweet image. Bladder mass , different biopsies in the background of bilharzial cystitis #pathology #GUpath #twitterpath
LFpath's tweet image. Bladder mass , different biopsies in the background of bilharzial cystitis #pathology #GUpath #twitterpath

Hey #twitterPath, 85/F. Gastric Fundal Mass What's the diagnosis here?

joemdoc's tweet image. Hey #twitterPath, 85/F. Gastric Fundal Mass
What's the diagnosis here?
joemdoc's tweet image. Hey #twitterPath, 85/F. Gastric Fundal Mass
What's the diagnosis here?
joemdoc's tweet image. Hey #twitterPath, 85/F. Gastric Fundal Mass
What's the diagnosis here?

Skene gland hyperplasia. Quite rare. #twitterPath #PathResidents #gynpath

joemdoc's tweet image. Skene gland hyperplasia. Quite rare. 
#twitterPath #PathResidents #gynpath

Got to see some really cool pathology this week! #Twitterpath #grosspath #heartofthematter

APowersPatho's tweet image. Got to see some really cool pathology this week! #Twitterpath #grosspath #heartofthematter

Attention #ASCP2018 attendees! Meet up at @pathologistmag booth #102, Thursday at 12:30PM for a massive #twitterpath photo! #ascp2018 #pathpowerlist #Pathologists

ALBoothMD's tweet image. Attention #ASCP2018 attendees! Meet up at @pathologistmag booth #102, Thursday at 12:30PM for a massive #twitterpath photo! #ascp2018 #pathpowerlist #Pathologists

40 yo female with vaginal hemorrhage and a protruding mass from the uterine cervix. #pathology #twitterpath

EIacovou's tweet image. 40 yo female with vaginal hemorrhage and a protruding mass from the uterine cervix. #pathology #twitterpath
EIacovou's tweet image. 40 yo female with vaginal hemorrhage and a protruding mass from the uterine cervix. #pathology #twitterpath
EIacovou's tweet image. 40 yo female with vaginal hemorrhage and a protruding mass from the uterine cervix. #pathology #twitterpath

¿Recuerdas cuando te uniste a Twitter? ¡Yo sí! #MiAniversarioDeTwitter 3 años compartiendo con esta gran familia de patólogos del mundo #TwitterFamily #TwitterPath

AsocPanaPatolog's tweet image. ¿Recuerdas cuando te uniste a Twitter? ¡Yo sí! #MiAniversarioDeTwitter 3 años compartiendo con esta gran familia de patólogos del mundo #TwitterFamily  #TwitterPath

Inflammatory fibroid polyp of the gastric antrum. An extremely rare entity that represents 0.1% of gastric polyps. This was localized in the gastric antrum of a 72 year old woman. #pathology #twitterpath

EIacovou's tweet image. Inflammatory fibroid polyp of the gastric antrum.
An extremely rare entity that represents 0.1% of gastric polyps.
This was localized in the gastric antrum of a 72 year old woman. #pathology #twitterpath
EIacovou's tweet image. Inflammatory fibroid polyp of the gastric antrum.
An extremely rare entity that represents 0.1% of gastric polyps.
This was localized in the gastric antrum of a 72 year old woman. #pathology #twitterpath
EIacovou's tweet image. Inflammatory fibroid polyp of the gastric antrum.
An extremely rare entity that represents 0.1% of gastric polyps.
This was localized in the gastric antrum of a 72 year old woman. #pathology #twitterpath
EIacovou's tweet image. Inflammatory fibroid polyp of the gastric antrum.
An extremely rare entity that represents 0.1% of gastric polyps.
This was localized in the gastric antrum of a 72 year old woman. #pathology #twitterpath

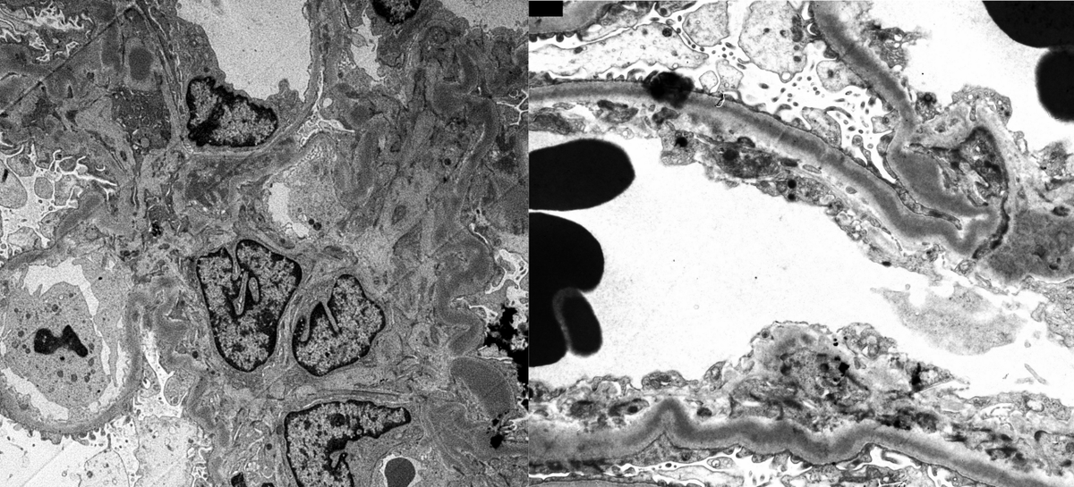
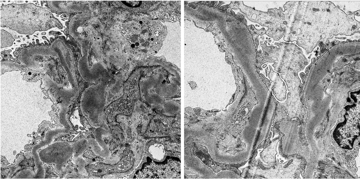
#renalpath #askrenal #TwitterPath #electronmicroscopy #ultrastructure @askrenal Subepithelial spherules: enigmatic structures resembling viral particles.. possibly derived from visceral epithelial cell cytoplasm. Any thoughts on origin & significance?

draalok's tweet image. #renalpath #askrenal #TwitterPath #electronmicroscopy #ultrastructure @askrenal Subepithelial spherules: enigmatic structures resembling viral particles.. possibly derived from visceral epithelial cell cytoplasm. Any thoughts on origin & significance?
draalok's tweet image. #renalpath #askrenal #TwitterPath #electronmicroscopy #ultrastructure @askrenal Subepithelial spherules: enigmatic structures resembling viral particles.. possibly derived from visceral epithelial cell cytoplasm. Any thoughts on origin & significance?
draalok's tweet image. #renalpath #askrenal #TwitterPath #electronmicroscopy #ultrastructure @askrenal Subepithelial spherules: enigmatic structures resembling viral particles.. possibly derived from visceral epithelial cell cytoplasm. Any thoughts on origin & significance?
draalok's tweet image. #renalpath #askrenal #TwitterPath #electronmicroscopy #ultrastructure @askrenal Subepithelial spherules: enigmatic structures resembling viral particles.. possibly derived from visceral epithelial cell cytoplasm. Any thoughts on origin & significance?

Allí nos vemos. Mi charla va de #twitter desde la experiencia #Twitterpath #DPValencia2019

Histopatolomon's tweet image. Allí nos vemos. Mi charla va de #twitter desde la experiencia
#Twitterpath #DPValencia2019

67yo male with polyploid nasal mass. A biopsy was taken. #pathology #twitterpath #headneckpath

EIacovou's tweet image. 67yo male with polyploid nasal mass.  A biopsy was taken. #pathology  #twitterpath #headneckpath
EIacovou's tweet image. 67yo male with polyploid nasal mass.  A biopsy was taken. #pathology  #twitterpath #headneckpath
EIacovou's tweet image. 67yo male with polyploid nasal mass.  A biopsy was taken. #pathology  #twitterpath #headneckpath
EIacovou's tweet image. 67yo male with polyploid nasal mass.  A biopsy was taken. #pathology  #twitterpath #headneckpath

Loading...

Something went wrong.


Something went wrong.