nerdyDP's profile picture. The heaviest property our body is not Weight. It is Ego. 😀When we stop learning we die, at least inside.

DP

@nerdyDP

The heaviest property our body is not Weight. It is Ego. 😀When we stop learning we die, at least inside.

I like this post 👍👍👍

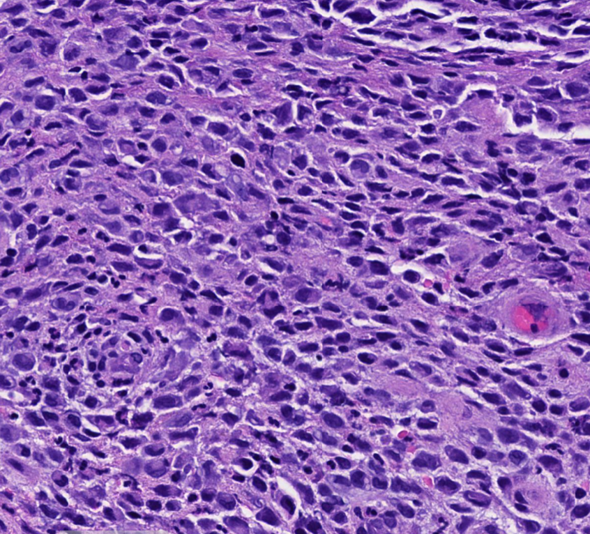
GI-Unexpected Findings in Small Biopsies Anal ulcer 78 yo Male S100+, Melanoma..? Case signed as Melanoma but molecular test showed BRAF mutation which is rare in mucosal melanomas New stains: Langerin and CD1a positive... Final Diagnosis: Langherhans cell hystiocytosis

Janiranavarro's tweet image. GI-Unexpected Findings in Small Biopsies
Anal ulcer 78 yo Male

S100+, Melanoma..?
Case signed as Melanoma but molecular test showed BRAF mutation which is rare in mucosal melanomas
New stains: Langerin and CD1a positive...

Final Diagnosis: Langherhans cell hystiocytosis
Janiranavarro's tweet image. GI-Unexpected Findings in Small Biopsies
Anal ulcer 78 yo Male

S100+, Melanoma..?
Case signed as Melanoma but molecular test showed BRAF mutation which is rare in mucosal melanomas
New stains: Langerin and CD1a positive...

Final Diagnosis: Langherhans cell hystiocytosis


Nice illustration

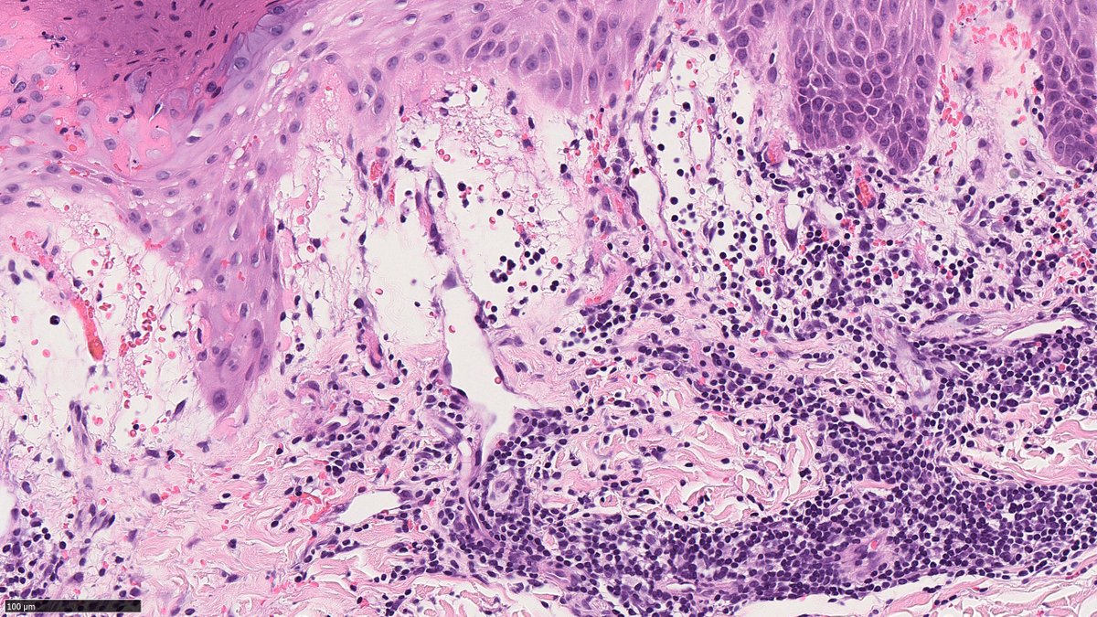
Non-invasive follicular thyroid neoplasm with papillary-like nuclear features (NIFTP) "An encapsulated/well demarcated neoplasm with follicular-patterned morphology and variable nuclear features of PTC, without capsular or vascular invasion" -No well-formed papillae -No psammoma

Janiranavarro's tweet image. Non-invasive follicular thyroid neoplasm with papillary-like nuclear features (NIFTP)
"An encapsulated/well demarcated neoplasm with follicular-patterned morphology and variable nuclear features of PTC, without capsular or vascular invasion"
-No well-formed papillae
-No psammoma
Janiranavarro's tweet image. Non-invasive follicular thyroid neoplasm with papillary-like nuclear features (NIFTP)
"An encapsulated/well demarcated neoplasm with follicular-patterned morphology and variable nuclear features of PTC, without capsular or vascular invasion"
-No well-formed papillae
-No psammoma


#Dermpath #Pathology Why is it required for pathologists to notify the clinicians diagnoses of melanoma and MIS? I assume they will check the path results after their procedures. We are not required to call for colon , bladder cancer etc .unless it’s unexpected. Thoughts ?


Amyloid🤩 🍏 green

nerdyDP's tweet image. Amyloid🤩 🍏 green

I don’t quite understand this pathology comment “ the lesion appears to be removed” I assume whoever did the biopsy knows it was removed in the office. Lol


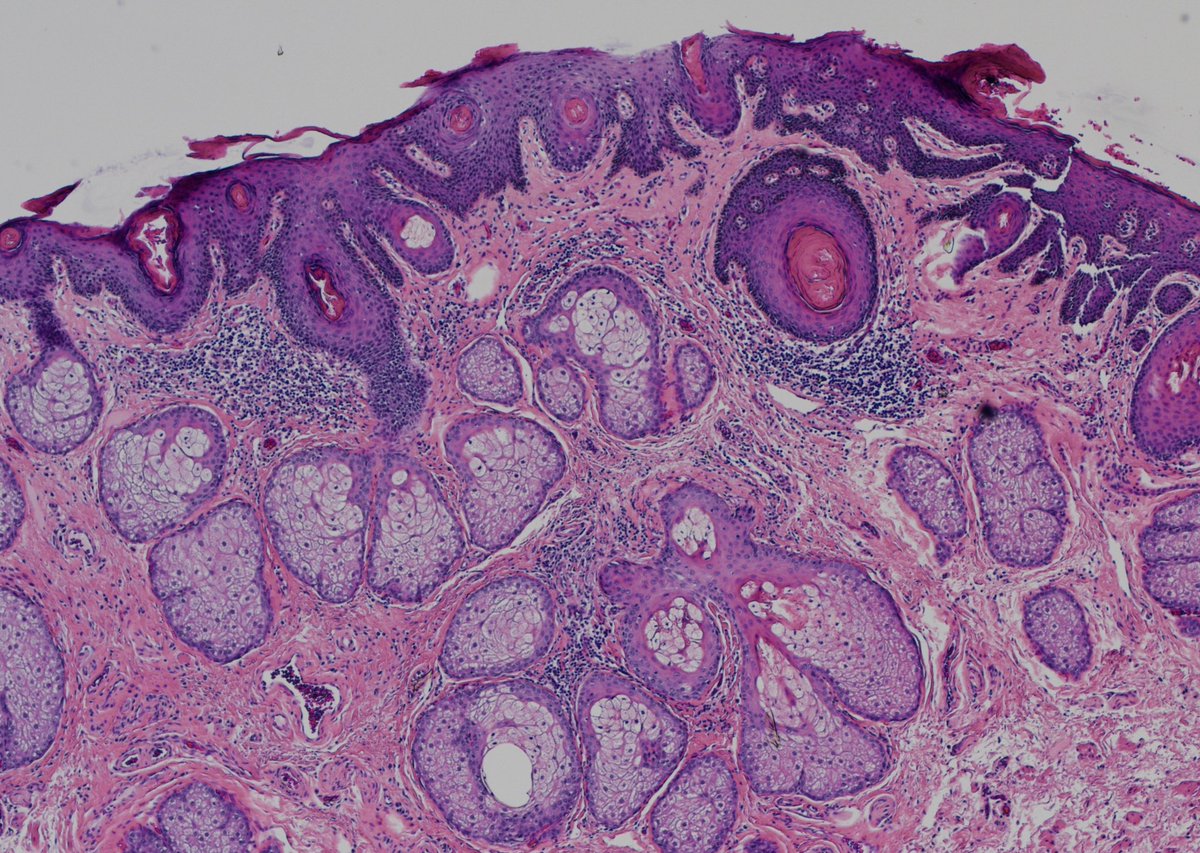
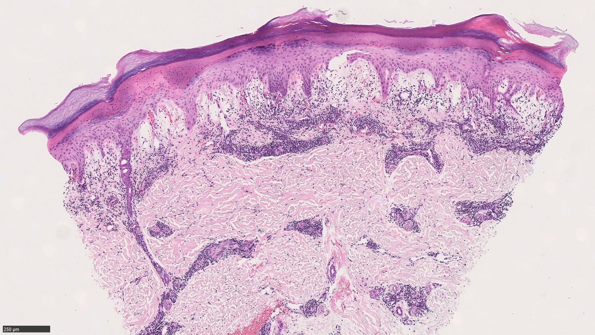
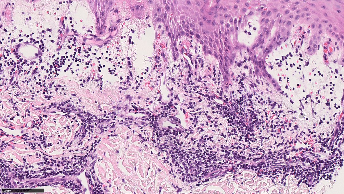
mucinous eccrine nevus #dermatology #dermpath

nerdyDP's tweet image. mucinous eccrine nevus #dermatology #dermpath
nerdyDP's tweet image. mucinous eccrine nevus #dermatology #dermpath

Two most challenging skills in #pathology: 👉To be able to recognize a benign-appearing malignancy 👉 To be able to recognize a malignant-appearing benign.


DP reposted

Dermatopathologists waiting for the clinical pictures and information from clinicians. #dermpath #dermatopathology

MarcelaSaebL's tweet image. Dermatopathologists waiting for the clinical pictures and information from clinicians. #dermpath #dermatopathology

R/o atypical nevus. Biopsy looks ok not exciting 😏. But IHC result changes the deal 🥳🥳🥳 Want to guess what the stain is?

nerdyDP's tweet image. R/o atypical nevus. Biopsy looks ok not exciting 😏.  But IHC result changes the deal 🥳🥳🥳 Want to guess what the stain is?
nerdyDP's tweet image. R/o atypical nevus. Biopsy looks ok not exciting 😏.  But IHC result changes the deal 🥳🥳🥳 Want to guess what the stain is?
nerdyDP's tweet image. R/o atypical nevus. Biopsy looks ok not exciting 😏.  But IHC result changes the deal 🥳🥳🥳 Want to guess what the stain is?
nerdyDP's tweet image. R/o atypical nevus. Biopsy looks ok not exciting 😏.  But IHC result changes the deal 🥳🥳🥳 Want to guess what the stain is?

DP reposted

18 yo F. L 2nd toe erythematous bumps and sores

rayan_saade's tweet image. 18 yo F. L 2nd toe erythematous bumps and sores
rayan_saade's tweet image. 18 yo F. L 2nd toe erythematous bumps and sores
rayan_saade's tweet image. 18 yo F. L 2nd toe erythematous bumps and sores
rayan_saade's tweet image. 18 yo F. L 2nd toe erythematous bumps and sores

DP reposted

Learn the basic #pathology features of #melanoma in my video: kikoxp.com/posts/3764. Here's a video on nevus basics too: kikoxp.com/posts/3740. Learn maturation, pagetoid, confluence, etc. #Pathology #dermpath #dermatology #dermtwitter #pathologists #pathTwitter #usmle #MedEd

JMGardnerMD's tweet image. Learn the basic #pathology features of #melanoma in my video: kikoxp.com/posts/3764. Here's a video on nevus basics too: kikoxp.com/posts/3740. Learn maturation, pagetoid, confluence, etc. #Pathology #dermpath #dermatology #dermtwitter #pathologists #pathTwitter #usmle #MedEd
JMGardnerMD's tweet image. Learn the basic #pathology features of #melanoma in my video: kikoxp.com/posts/3764. Here's a video on nevus basics too: kikoxp.com/posts/3740. Learn maturation, pagetoid, confluence, etc. #Pathology #dermpath #dermatology #dermtwitter #pathologists #pathTwitter #usmle #MedEd

DP reposted

Most melanocytic skin lesions can be diagnosed by H&E, but in some cases, immunostains can be very useful. This video shows my basic approach to using #IHCpath to help distinguish nevus from #melanoma. buff.ly/2NzAoLf #dermpath #Pathology #dermatology

JMGardnerMD's tweet image. Most melanocytic skin lesions can be diagnosed by H&E, but in some cases, immunostains can be very useful. This video shows my basic approach to using #IHCpath to help distinguish nevus from #melanoma. buff.ly/2NzAoLf #dermpath #Pathology #dermatology

DP reposted

Ladies and Gentlemen - if this doesn't blow your mind, nothing ever will! History of small bowel perforation. Enjoy! #GIPath PS Since Masala Dosas seem to be the flavor of the day - that's what you get if you diagnose this entity!

Vik_deshpandeMD's tweet image. Ladies  and Gentlemen - if this doesn't blow your mind, nothing ever will! History of small bowel perforation. Enjoy! #GIPath PS  Since Masala Dosas seem to be the flavor of  the day - that's what  you get if you diagnose this entity!
Vik_deshpandeMD's tweet image. Ladies  and Gentlemen - if this doesn't blow your mind, nothing ever will! History of small bowel perforation. Enjoy! #GIPath PS  Since Masala Dosas seem to be the flavor of  the day - that's what  you get if you diagnose this entity!
Vik_deshpandeMD's tweet image. Ladies  and Gentlemen - if this doesn't blow your mind, nothing ever will! History of small bowel perforation. Enjoy! #GIPath PS  Since Masala Dosas seem to be the flavor of  the day - that's what  you get if you diagnose this entity!
Vik_deshpandeMD's tweet image. Ladies  and Gentlemen - if this doesn't blow your mind, nothing ever will! History of small bowel perforation. Enjoy! #GIPath PS  Since Masala Dosas seem to be the flavor of  the day - that's what  you get if you diagnose this entity!

DP reposted

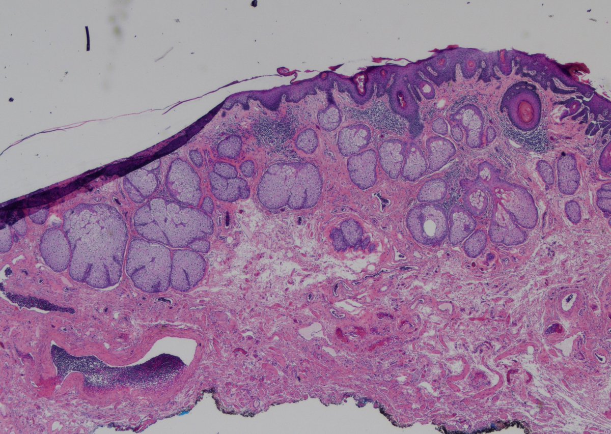
Fordyce granules. Foreskin from a 30-year-old presenting with Phimosis. These are ectopic sebaceous glands characterized by yellowish white popular lesions.Typically occurs in oral cavity but can also occur in penis! @UTSW_GUPath

rajalbshah's tweet image. Fordyce granules. Foreskin from a 30-year-old presenting with Phimosis. These are ectopic sebaceous glands characterized by yellowish white popular lesions.Typically occurs in oral cavity but can also occur in penis! @UTSW_GUPath
rajalbshah's tweet image. Fordyce granules. Foreskin from a 30-year-old presenting with Phimosis. These are ectopic sebaceous glands characterized by yellowish white popular lesions.Typically occurs in oral cavity but can also occur in penis! @UTSW_GUPath

Loading...

Something went wrong.


Something went wrong.