
Fitzpatrick Laboratory
@FitzpatrickLab
Assistant Professor @ZuckermanBrain @ColumbiaBiochem. Lab uses cryo-EM & biophysics to study the cellular, molecular, and structural basis of neurodegeneration.
คุณอาจชื่นชอบ
New preprint from @DuXDaniel @FitzpatrickLab shows #femtosecond light pulses can lens electron beams, promising higher contrast in #cryoET and better aberration correction in #cryoEM biorxiv.org/content/10.110… Experiments made possible by support from @cziscience #ImagingTheFuture

One of my favorite technologies, developed in recent years, is two-photon holographic optogenetics. It is a way to both stimulate and record activity from thousands of individual neurons in real-time; akin to playing the brain like a piano. Here is how it works: In classical…
How does hunger spur us to consume? @Columbia scientists have found a brain area that drives mice to consume sweets, fats, salt & food. This finding may inform novel treatments for both overeating and undereating. See @CellCellPress #neuroscience zuckermaninstitute.columbia.edu/brain-dial-con…

CSF total tau as a proxy of synaptic degeneration: nature.com/articles/s4146…
Apoptotic vesicle release from a cell as it gives up the ghost under oxidative stress, as seen by MOSAIC lattice light sheet mode.
Exciting to see our protein binder design pipeline BindCraft published in its final form in @Nature ! This has been an amazing collaborative effort with Lennart, @csche11h, @sokrypton, @befcorreia and many other amazing lab members and collaborators. nature.com/articles/s4158…
We’re excited to announce our new paper on Time-deterministic cryo-optical microscopy! This technique rapidly freezes living cells during imaging, adding temporal info to cryo-fixed samples for deeper analysis. Huge thanks to our amazing collaborators. nature.com/articles/s4137…
SLC45A4 is a pain gene encoding a neuronal polyamine transporter | Nature nature.com/articles/s4158…
New "Mindscapes" exhibit @ZuckermanBrain featuring #cryoEM structures of #TMEM106B #amyloid fibrils (doi.org/10.1016/j.cell…) & the ligand-bound human sweet receptor (doi.org/10.1016/j.cell…) from the Fitzpatrick (fitzpatrick-lab.org) & Zuker (zukerlab.com) labs.

CryoEM structure of the human uromodulin filaments (PDB code: 9NU3) #scivis #molecularart @dzine_ai @proteinimaging behance.net/gallery/226765…

New online! Integrated structural biology of the native malarial translation machinery and its inhibition by an antimalarial drug bit.ly/4mluP07

Our #CryoET story on how a top antimalarial drug candidate perturbs the native malarial translation machinery is out @NatureSMB🥳rdcu.be/eBbrH Massive team effort led by @leonie_anton @mehsehret @Wenjing_Cheng_ in collaboration with @DziekanJerzy @CowmanAlan #teamtomo

The new issue is out👉cell.com/cell/current On the cover, Haziza et al. image high-frequency voltage dynamics in multiple neuron classes of behaving mammals, highlighting the brain's hidden electrical code underlying perception, thoughts, and emotions.

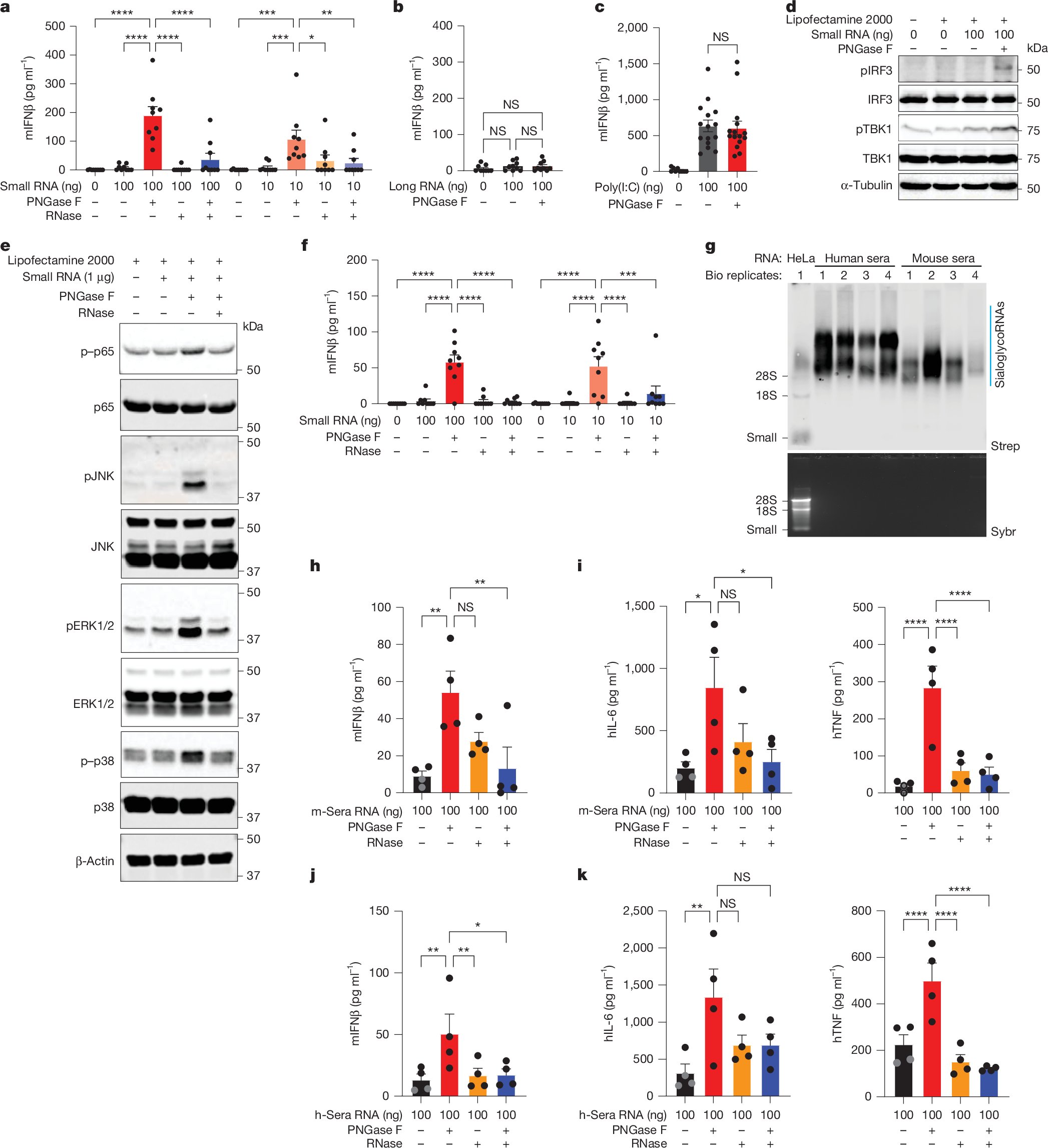
Hi everybody! I am super excited to share the work done during my PhD published in @nature today! We describe a new mechanism of self- vs. non-self RNA discrimination by showing how N-glycans shield glycoRNAs from stimulating endosomal RNA sensors nature.com/articles/s4158…
The molecular basis of lamin-specific chromatin interactions nature.com/articles/s4159…
Potato evolved from tomato 9 million years ago. cell.com/cell/fulltext/… @NHM_London Sandra Knapp @UBC Loren H. Rieseberg @SCUCN Jianquan Liu #CAAS Sanwen Huang @cellcellpress

How we taste sweetness: long-sought structure of human receptor mapped at last nature.com/articles/d4158…
In the latest issue! The structure of human sweetness dlvr.it/TM6Tpg

Online now! Automated identification of small molecules in cryoelectron microscopy data with density- and energy-guided evaluation dlvr.it/TM6fxv

Structural insights into brain thyroid hormone transport via MCT8 and OATP1C1: Cell cell.com/cell/abstract/…
Synaptic loss pattern is constrained by brain connectome and modulated by phosphorylated tau in Alzheimer’s disease nature.com/articles/s4146…
United States เทรนด์
- 1. $ZOOZ N/A
- 2. #2025MAMAVOTE 590K posts
- 3. Good Thursday 23.7K posts
- 4. Happy Friday Eve N/A
- 5. Mila 18K posts
- 6. #ThursdayThoughts 1,445 posts
- 7. Brevis ZK 142K posts
- 8. #thursdayvibes 2,306 posts
- 9. Deport Harry Sisson 14.8K posts
- 10. #thursdaymotivation 2,101 posts
- 11. Ninja Gaiden 14.8K posts
- 12. #ThankfulThursday N/A
- 13. Tomonobu Itagaki 9,919 posts
- 14. Deloitte 10.7K posts
- 15. Dead or Alive 13.1K posts
- 16. DuPont 2,276 posts
- 17. MC FELIX FRIDGE INTERVIEW 16.3K posts
- 18. Happy 60th N/A
- 19. Jennifer Welch 4,807 posts
- 20. Bernie 40.1K posts
คุณอาจชื่นชอบ
-
Misha Kudryashev 🔬 ❄🕊️
@MishaKudryashev -
The Nogales Lab
@NogalesLab -
Kelly Nguyen
@KellyTHD_Nguyen -
Chi-Min Ho
@mimi1inh -
Oli B. Clarke
@OliBClarke -
Stefan Raunser
@Intein -
Elizabeth Wright
@erwright73 -
Abhay Kotecha
@AbhayKot -
Wim Hagen
@WimJHH -
Edward T Eng
@edward_eng -
Sharon Grayer Wolf
@ShaLGW -
Alex J Noble
@alexjamesnoble -
Cornelius Gati
@CorneliusGati -
Single Particle
@SingleParticle -
Juha Huiskonen
@JuhaHuiskonen
Something went wrong.
Something went wrong.